Циркониевые коронки
от 5000₽
от 20 минут
с 09:00 до 21:00
Описание услуги
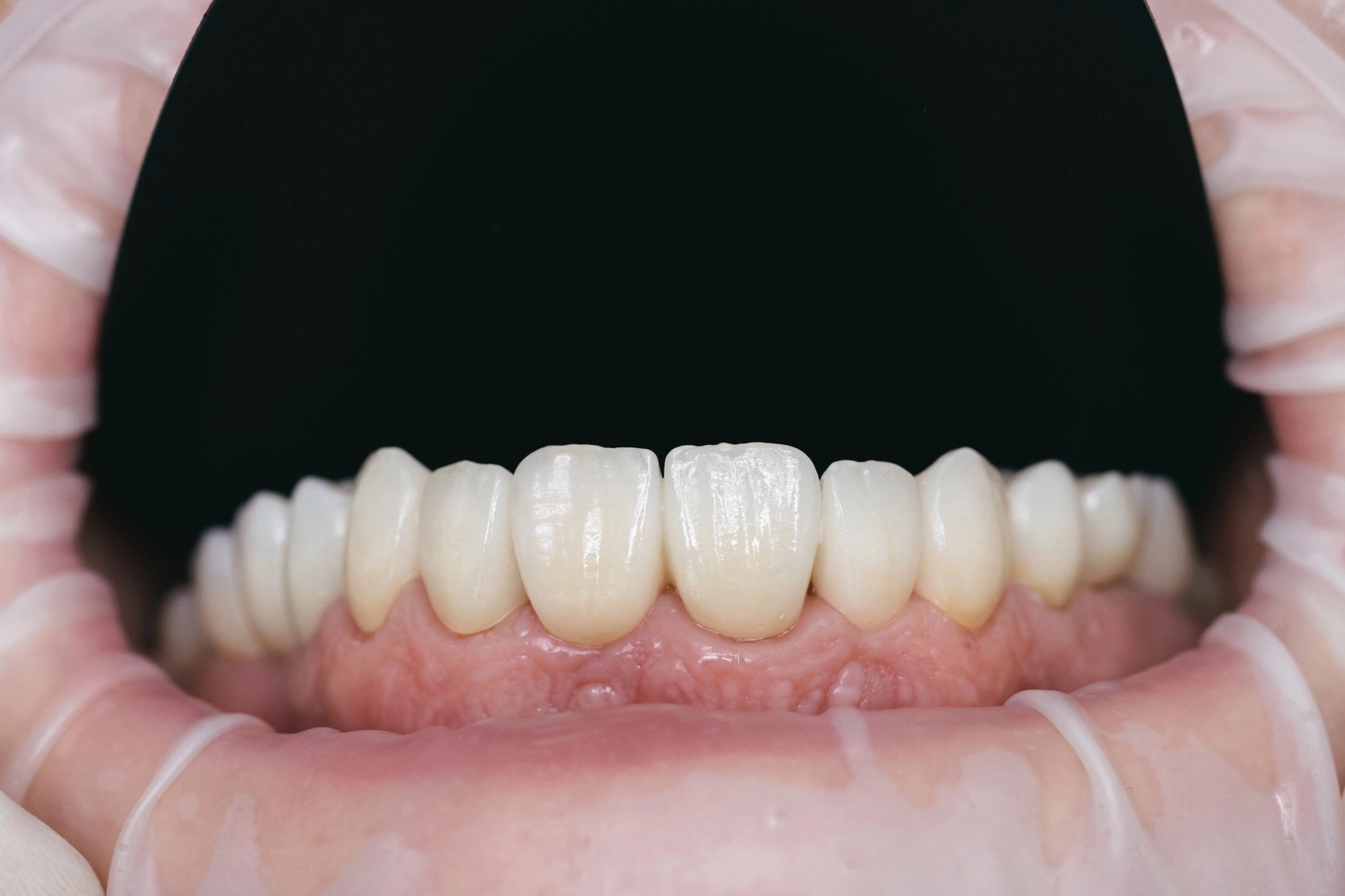
Циркониевые коронки — это современные ортопедические решения, изготовленные из диоксида циркония. Этот белый полупрозрачный материал отличается высокой прочностью и эстетически привлекательным видом. В стоматологии они используются для восстановления сильно поврежденных или утраченных зубов, обеспечивая идеальный баланс между естественностью и долговечностью.
Диоксид циркония ценится за свои высокие прочностные характеристики, твердость, приближающуюся к характеристикам металла, и прозрачность, превосходящую керамику. Вместе с тем он биоинертен, не раздражает слизистую оболочку и идеально прилегает к живым тканям, исключая вероятность попадания бактерий и дальнейшее развитие вторичного кариеса.
Использование циркониевых коронок показано в следующих ситуациях:
-
Полное разрушение коронковой части зуба, невозможность восстановления обычными способами.
-
Истончение эмали и повышенная хрупкость зуба.
-
Реабилитация после эндодонтического лечения (каналы запломбированы, но зуб ослаблен).
-
Необходимость защиты зуба после установки имплантата.
-
Улучшение эстетики улыбки (замещение поврежденных или деформированных зубов).
-
Постоянное закрытие депульпированных зубов (без нерва).
Применение циркониевых коронок оправдано там, где важна максимальная прочность и минимальная аллергенность материала.
Хотя циркониевые коронки широко применяются в стоматологии, существуют и противопоказания:
-
Детский возраст (до 18 лет).
-
Наличие тяжелых общих заболеваний (сердечная недостаточность, онкологические патологии, почечная недостаточность).
-
Гиперплазия десны.
-
Остро протекающие воспалительные процессы в полости рта.
-
Наличие металлических ортопедических конструкций в зоне планируемой фиксации коронки (в области установки).
-
Индивидуальная непереносимость материала коронки.
Врач оценивает каждое показание и противопоказание, учитывая общую картину здоровья пациента.
Врачи клиники «ЗдравДент» специализируются на работе с циркониевыми коронками, обладая большим опытом и глубокими познаниями в данном направлении. Используются лучшие материалы и высокотехнологичное оборудование, что гарантирует высокий результат и долгосрочную эксплуатацию каждой установленной коронки.
Доступные цены
В цену включено:
- консультация ортопеда высшей категории;
- прицельный рентген снимок и снятие слепков;
- определение цвета по немецкой запатентованной технологии;
- препарирование зуба под коронку;
- изготовление и фиксация коронки из металлокерамики;
- расширенная гарантия до 15 лет.
В цену включено:
- консультация ортопеда высшей категории;
- прицельный рентген снимок и снятие слепков;
- определение цвета по немецкой запатентованной технологии;
- препарирование зуба под коронку;
- изготовление и фиксация коронки из металлокерамики;
- расширенная гарантия до 15 лет.
В цену включено:
- консультация ортопеда высшей категории;
- прицельный рентген снимок и снятие слепков;
- определение цвета по немецкой запатентованной технологии;
- препарирование зуба под коронку;
- изготовление и фиксация коронки из металлокерамики;
- расширенная гарантия до 15 лет.
Lorem, ipsum dolor sit amet consectetur, adipisicing elit. Inventore soluta, ab cupiditate amet reprehenderit ad suscipit sapiente dolorem voluptates tenetur obcaecati consequatur et labore ipsa neque, nulla quam nostrum! Eaque?
98% клиентов возвращаются к нам
и рекомендуют своим близким
популярные вопросы
Преимущества циркониевых коронок — высокая прочность, долговечность, отсутствие металлической основы и прекрасный эстетичный результат. Материал не тускнеет со временем, устойчив к механическим воздействиям и обладает минимальной толщиной стенок, что позволяет сохранять большую часть натуральной ткани зуба.
При правильном уходе и регулярных визитах к стоматологу коронки из диоксида циркония способны служить десятки лет. Средний срок службы составляет около десяти-пятнадцати лет, но многие пациенты носят их дольше.
Время адаптации к установленным коронкам минимально. Большинство пациентов чувствуют разницу лишь в первые часы после процедуры, после чего забывают о существовании коронок совсем.
Рекомендации при посещении стоматолога
собрали самое полезное в нашем блоге
Вы остановите свой выбор на нас, потому что мы знаем,
что важно для вашей улыбки
предварительного
финансового плана
лечения

семьи и друзей
стоматологическое и диагностическое
оборудование экспертного уровня
с международными сертификатамии
опытом от 10 лет
обезболивания: анестезию, наркоз или седацию
К нам удобно добираться
с метро и городской парковкой





